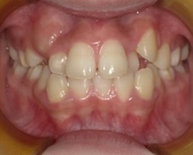
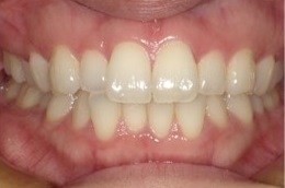
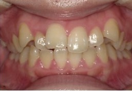
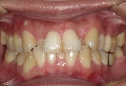
矯正症例集

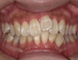
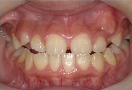
症例

カテゴリー症例カテゴリー
すべて
八重歯
でこぼこ(叢生)
出っ歯
受け口
すきっ歯
口元が出ている
かみ合わせが深い(過蓋咬合)
歯が閉じない(開咬)
その他
カテゴリーアーカイブ
すべて
2025-09
2025-06
2025-01
矯正歯科矯正歯科について
矯正症例集
なぜ矯正をした方がいいの?
矯正治療のすすめ方
当院の矯正装置(オプション)
矯正料金表
矯正治療Q&A
診療時間
9:00-12:00
(11:30最終受付)
14:00-18:00
(17:30最終受付)
  • ※休診日…水曜日・日曜日・祝日

峰歯科

〒518-0878
三重県伊賀市上野西大手町3598
(崇廣中学校となり)アクセス ≫

当院は伊賀市上野・緑ヶ丘・桐ヶ丘・青山町など、周辺地域からも多くの患者さまにご来院いただいています。

TEL 0120-539-118

TEL 0595-21-1616

  • 駐車場駐車場14台完備
  • キッズスペースキッズスペース完備
  • 峰歯科の一般歯科治療