-
症例カテゴリー
- すべて
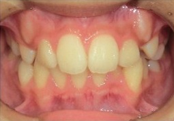
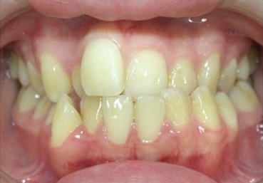
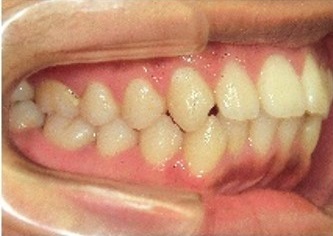
- 八重歯
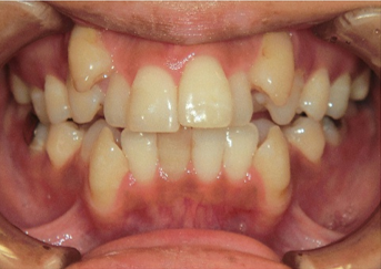
- でこぼこ(叢生)
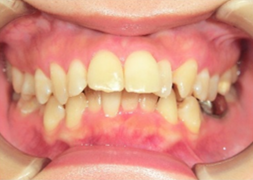
- 出っ歯
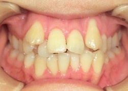
- 受け口
- すきっ歯
- 口元が出ている
- かみ合わせが深い(過蓋咬合)
- 歯が閉じない(開咬)
- その他
-
矯正歯科について
- 矯正症例集
- なぜ矯正をした方がいいの?
- 矯正治療のすすめ方
- 当院の矯正装置(オプション)
- 矯正料金表
- 矯正治療Q&A
診療時間 | 月 | 火 | 水 | 木 | 金 | 土 | 日 |
---|---|---|---|---|---|---|---|
9:00-12:00 (11:30最終受付) |
● | ● | 休 | ● | ● | ● | 休 |
14:00-18:00 (17:30最終受付) |
● | ● | 休 | ● | ● | ● | 休 |
- ※休診日…水曜日・日曜日・祝日
〒518-0878
三重県伊賀市上野西大手町3598
(崇廣中学校となり)アクセス ≫
当院は伊賀市上野・緑ヶ丘・桐ヶ丘・青山町など、周辺地域からも多くの患者さまにご来院いただいています。
TEL 0120-539-118
TEL 0595-21-1616
-
駐車場14台完備
-
キッズスペース完備