- でこぼこ(叢生)
- 2011/01/18
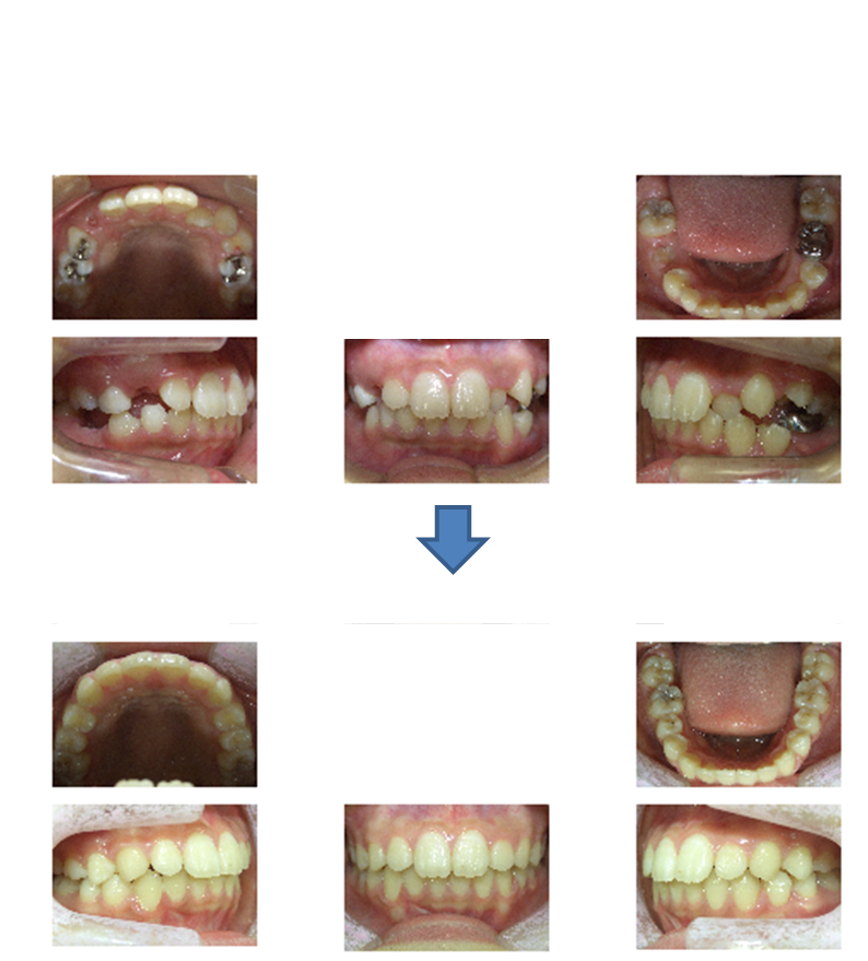
子供のデコボコ症例

矯正治療をするのは子どもの時の方が有利です。
なぜかというと、歯が動きやすいというのがまずあります。しかし、それ以上に大切なことがあります。それは、骨もコントロールできることです。
成長期というのは、骨が成長しています。その骨が成長している時期に、成長方向をコントロールすることができるのです。
この症例のようなデコボコの症例は、歯が並ぶだけの顎の大きさが足りていないところに原因があります。ですので、治療をするのに顎の大きさが大きくなると有利なわけです。
そこで、永久歯が生えそろう前に少しずつ寝る時だけ、顎が拡がるような装置を装着して、歯が並ぶだけの隙間ができるような準備を行います。
理想の治療開始時期としては、あと一年以内で永久歯が生えそろいそうな時期。平均して小学生4年から5年生くらいの時期になるかと思います。
人によって歯の生え替わるスピードはそれぞれなので、定期的に永久歯の交換を観察しつつ、適切な時期に始めるのが得策と言えるでしょう。
そのために、小さい時からの定期検診をオススメします。
子供のデコボコ
・治療内容
まずは寝るときだけ、1年くらい顎を広げる装置を付けてもらいます。
永久歯が揃ったら、歯を抜かずにブラケット装置で矯正します。
・費用等に関する事項
おおよそ70万から100万円くらい
・治療等の主なリスク
治療期間が長引く事があります。
歯根が短くなる事があります。
歯肉が退縮することがあります。
最終的な仕上がりを見て、やっぱり歯を抜いて治療したいということもあります。
・副作用等
矯正治療中に歯磨きを怠ると通常より虫歯になりやすくなります。
保定装置を怠ると、後戻りします。
感想等、詳細については院内で閲覧できます。
- 住所
- 〒518-0878 三重県伊賀市上野西大手町3598(崇廣中学校となり)
※キッズスペース完備 駐車場14台完備 - 営業時間
- 平日・土曜:9:00 - 12:00(11:30最終受付) / 14:00 - 18:00(17:30最終受付)
- 休診日
- 水曜日・日曜日・祝日
- 最寄駅
- 西大手駅
三重県伊賀市の峰歯科・矯正歯科クリニック
おすすめ記事
-
- 八重歯
- 男性 15歳 八重歯の症例
-
- かみ合わせが深い(過蓋咬合)
- 女性 18歳 かみ合わせが深い症例
-
- でこぼこ(叢生)
- 男性 31歳 でこぼこの症例
-
症例カテゴリー - すべて
- 八重歯
- でこぼこ(叢生)
- 出っ歯
- 受け口
- すきっ歯
- 口元が出ている
- かみ合わせが深い(過蓋咬合)
- 歯が閉じない(開咬)
- その他
-
矯正歯科について - 矯正症例集
- なぜ矯正をした方がいいの?
- 矯正治療のすすめ方
- 当院の矯正装置(オプション)
- 矯正料金表
- 矯正治療Q&A
| 診療時間 | 月 | 火 | 水 | 木 | 金 | 土 | 日 |
|---|---|---|---|---|---|---|---|
| 9:00-12:00 (11:30最終受付) |
● | ● | 休 | ● | ● | ● | 休 |
| 14:00-18:00 (17:30最終受付) |
● | ● | 休 | ● | ● | ● | 休 |
- ※休診日…水曜日・日曜日・祝日

〒518-0878
三重県伊賀市上野西大手町3598
(崇廣中学校となり)アクセス ≫
当院は伊賀市上野・緑ヶ丘・桐ヶ丘・青山町など、周辺地域からも多くの患者さまにご来院いただいています。
TEL 0120-539-118
TEL 0595-21-1616
-
駐車場14台完備 -
キッズスペース完備


歯周病
入れ歯&訪問







WEB予約はこちら ▶