- 出っ歯
- 2011/01/18
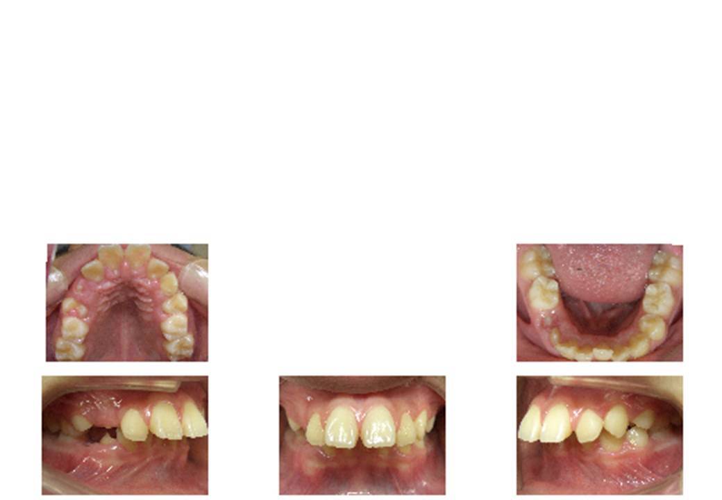
子供の出っ歯症例

出っ歯という言葉。上の前歯が出ている歯並びの通称です。
詳しく言うと、下の前歯よりも上の前歯の方が著しく前にある、ということです。
この言い方は、より目立つ上の歯にフューチャーしてますが、この歯並びの根本的な原因は下の顎が凹んでいることにあります。
正確な言い方としては、「下顎引っ込み」です。
これでは、語呂も悪いし、見た目の特徴を上手く捉えていないので、言葉としては流行らないと思いますが、治療方法としてはこっちが正解です。
つまり、下顎を前に出すような治療方法が一番ベストなのです。
しかし、大人の方の「下顎引っ込み」は下顎をコントロールできないので、その方法を採用できません。ですので、「出っ歯」の治療となります。
一方で子どもの場合は、下顎の成長をコントロールできるので、「下顎引っ込み」という名称で間違いありません。
大人でも子どもでも、この歯並びを治療すればものすごくキレイになるのですが、子どもの時に治療してしまうのは、よりメリットが大きいと言えます。
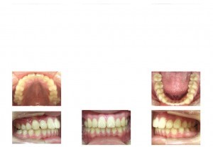
子供の出っ歯
・治療内容
下顎を前に成長させることにより出っ歯を解消します。永久歯が揃ったらブラケット装置にて矯正します。
おおよそ70万から100万円くらい
・治療等の主なリスク
下顎の成長には個人差があります。。
上の隙間が少し残る事があります。
治療期間が長引く事があります。
歯根が短くなる事があります。
歯肉が退縮することがあります。
・副作用等
矯正治療中に歯磨きを怠ると通常より虫歯になりやすくなります。
保定装置を怠ると、後戻りします。
感想等、詳細については院内で閲覧できます。
- 住所
- 〒518-0878 三重県伊賀市上野西大手町3598(崇廣中学校となり)
※キッズスペース完備 駐車場14台完備 - 営業時間
- 平日・土曜:9:00 - 12:00(11:30最終受付) / 14:00 - 18:00(17:30最終受付)
- 休診日
- 水曜日・日曜日・祝日
- 最寄駅
- 西大手駅
三重県伊賀市の峰歯科・矯正歯科クリニック
おすすめ記事
-
- 八重歯
- 男性 15歳 八重歯の症例
-
- かみ合わせが深い(過蓋咬合)
- 女性 18歳 かみ合わせが深い症例
-
- でこぼこ(叢生)
- 男性 31歳 でこぼこの症例
-
症例カテゴリー - すべて
- 八重歯
- でこぼこ(叢生)
- 出っ歯
- 受け口
- すきっ歯
- 口元が出ている
- かみ合わせが深い(過蓋咬合)
- 歯が閉じない(開咬)
- その他
-
矯正歯科について - 矯正症例集
- なぜ矯正をした方がいいの?
- 矯正治療のすすめ方
- 当院の矯正装置(オプション)
- 矯正料金表
- 矯正治療Q&A
| 診療時間 | 月 | 火 | 水 | 木 | 金 | 土 | 日 |
|---|---|---|---|---|---|---|---|
| 9:00-12:00 (11:30最終受付) |
● | ● | 休 | ● | ● | ● | 休 |
| 14:00-18:00 (17:30最終受付) |
● | ● | 休 | ● | ● | ● | 休 |
- ※休診日…水曜日・日曜日・祝日

〒518-0878
三重県伊賀市上野西大手町3598
(崇廣中学校となり)アクセス ≫
当院は伊賀市上野・緑ヶ丘・桐ヶ丘・青山町など、周辺地域からも多くの患者さまにご来院いただいています。
TEL 0120-539-118
TEL 0595-21-1616
-
駐車場14台完備 -
キッズスペース完備


歯周病
入れ歯&訪問








WEB予約はこちら ▶