- 口元が出ている
- 2013/10/23
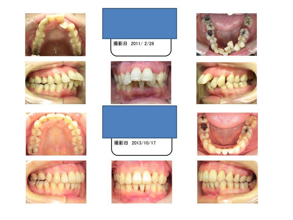
女性 成人 とにかく歯並びがコンプレックス

この症例の患者さんは、歯並びについて非常に悩まれていました。
他院では、治療の施しようがないよううな心に引っかかるような事を言われたようで、歯並びについては最初諦めていたようです。
当院に矯正の相談にお越し頂き、歯を抜く必要はありますが、歯並びの治療は可能だということをお伝えしました。
実際とても勇気を振り絞って矯正治療に臨まれたと思いますが、この変化を見てもらうと本人だけでなく、誰もが歯並びを治療して良かったと思うのではないでしょうか?
矯正治療は歯の健康のためにするものですが、コンプレックスを克服するという面においても非常に有効な治療であると感じています。
・治療内容
上下左右一本ずつ歯を抜いて隙間を作り、上下の前歯を後ろに下げ、口元を下げます。ブラケット装置にて治療。
・費用等に関する事項
おおよそ80万から100万円くらい
・治療等の主なリスク
最初の状態より上の口元は下がりますが、患者様が想像されているところまで必ずいくとは断言できません。
治療期間が長引く事があります。
歯根が短くなる事があります。
歯肉が退縮することがあります。
・副作用等
矯正治療中に歯磨きを怠ると通常より虫歯になりやすくなります。
保定装置を怠ると、後戻りします。
・
感想等、詳細については院内で閲覧できます。
- 住所
- 〒518-0878 三重県伊賀市上野西大手町3598(崇廣中学校となり)
※キッズスペース完備 駐車場14台完備 - 営業時間
- 平日・土曜:9:00 - 12:00(11:30最終受付) / 14:00 - 18:00(17:30最終受付)
- 休診日
- 水曜日・日曜日・祝日
- 最寄駅
- 西大手駅
三重県伊賀市の峰歯科・矯正歯科クリニック
おすすめ記事
-
- 八重歯
- 男性 15歳 八重歯の症例
-
- かみ合わせが深い(過蓋咬合)
- 女性 18歳 かみ合わせが深い症例
-
- でこぼこ(叢生)
- 男性 31歳 でこぼこの症例
-
症例カテゴリー - すべて
- 八重歯
- でこぼこ(叢生)
- 出っ歯
- 受け口
- すきっ歯
- 口元が出ている
- かみ合わせが深い(過蓋咬合)
- 歯が閉じない(開咬)
- その他
-
矯正歯科について - 矯正症例集
- なぜ矯正をした方がいいの?
- 矯正治療のすすめ方
- 当院の矯正装置(オプション)
- 矯正料金表
- 矯正治療Q&A
| 診療時間 | 月 | 火 | 水 | 木 | 金 | 土 | 日 |
|---|---|---|---|---|---|---|---|
| 9:00-12:00 (11:30最終受付) |
● | ● | 休 | ● | ● | ● | 休 |
| 14:00-18:00 (17:30最終受付) |
● | ● | 休 | ● | ● | ● | 休 |
- ※休診日…水曜日・日曜日・祝日

〒518-0878
三重県伊賀市上野西大手町3598
(崇廣中学校となり)アクセス ≫
当院は伊賀市上野・緑ヶ丘・桐ヶ丘・青山町など、周辺地域からも多くの患者さまにご来院いただいています。
TEL 0120-539-118
TEL 0595-21-1616
-
駐車場14台完備 -
キッズスペース完備


歯周病
入れ歯&訪問







WEB予約はこちら ▶