- でこぼこ(叢生)
- 2014/04/18
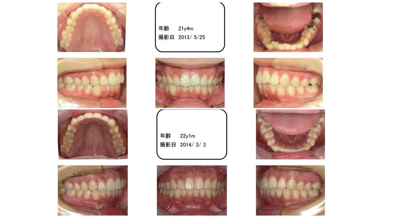
デコボコ 治療期間1年

デコボコ
・治療内容
デコボコが小さいので歯を抜かずにならべます。
ブラケット装置で矯正します。
・費用等に関する事項
おおよそ70万から100万円くらい
・治療等の主なリスク
治療期間が長引く事があります。
歯根が短くなる事があります。
歯肉が退縮することがあります。
最終的な仕上がりを見て、やっぱり歯を抜いて治療したいということもあります。
・副作用等
矯正治療中に歯磨きを怠ると通常より虫歯になりやすくなります。
保定装置を怠ると、後戻りします。
感想等、詳細については院内で閲覧できます。
- 住所
- 〒518-0878 三重県伊賀市上野西大手町3598(崇廣中学校となり)
※キッズスペース完備 駐車場14台完備 - 営業時間
- 平日・土曜:9:00 - 12:00(11:30最終受付) / 14:00 - 18:00(17:30最終受付)
- 休診日
- 水曜日・日曜日・祝日
- 最寄駅
- 西大手駅
三重県伊賀市の峰歯科・矯正歯科クリニック
おすすめ記事
-
- 八重歯
- 男性 15歳 八重歯の症例
-
- かみ合わせが深い(過蓋咬合)
- 女性 18歳 かみ合わせが深い症例
-
- でこぼこ(叢生)
- 男性 31歳 でこぼこの症例
-
症例カテゴリー - すべて
- 八重歯
- でこぼこ(叢生)
- 出っ歯
- 受け口
- すきっ歯
- 口元が出ている
- かみ合わせが深い(過蓋咬合)
- 歯が閉じない(開咬)
- その他
-
矯正歯科について - 矯正症例集
- なぜ矯正をした方がいいの?
- 矯正治療のすすめ方
- 当院の矯正装置(オプション)
- 矯正料金表
- 矯正治療Q&A
| 診療時間 | 月 | 火 | 水 | 木 | 金 | 土 | 日 |
|---|---|---|---|---|---|---|---|
| 9:00-12:00 (11:30最終受付) |
● | ● | 休 | ● | ● | ● | 休 |
| 14:00-18:00 (17:30最終受付) |
● | ● | 休 | ● | ● | ● | 休 |
- ※休診日…水曜日・日曜日・祝日

〒518-0878
三重県伊賀市上野西大手町3598
(崇廣中学校となり)アクセス ≫
当院は伊賀市上野・緑ヶ丘・桐ヶ丘・青山町など、周辺地域からも多くの患者さまにご来院いただいています。
TEL 0120-539-118
TEL 0595-21-1616
-
駐車場14台完備 -
キッズスペース完備


歯周病
入れ歯&訪問







WEB予約はこちら ▶