- 院長ブログ
- 2025/11/05
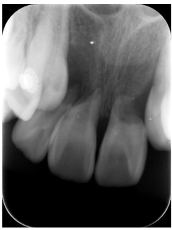
歯の根が短くなる“歯根吸収”とは?
こんにちは、三重県伊賀市の歯医者、峰歯科・矯正歯科クリニックの院長KSK(けいすけ)こと峰啓介です。
■ 「歯の根が短くなっている」と言われたら?
レントゲンで「歯の根が少し短くなっています」と言われると、不安に感じる方も多いかもしれません。
この現象は“歯根吸収(しこんきゅうしゅう)”と呼ばれますが、実際にはほとんどの場合、問題になることはありません。

■ 歯根吸収はどんなときに起こる?
歯根吸収が起こる代表的な場面は、矯正治療中です。
歯を動かす際、根の先に軽い刺激が加わることでごくわずかに吸収が起こることがあります。
しかし、それによって歯が抜けたり弱くなったりすることはありません。
実際、矯正治療を長く行ってきた中で、歯根吸収が問題になるケースはありません。
定期的なレントゲンで確認しながら、必要に応じて力のコントロールを行うことで安全に治療できます。

■ まれに起こる特殊なケース
ごく一部のケースとして、子どもの頃に**犬歯が変な方向に埋まっている(埋伏犬歯)**場合、
前歯の根を圧迫して歯根吸収を起こすことがあります。
当院でもこれまで数症例だけ経験がありますが、
早期に発見して矯正治療で方向をコントロールすれば防ぐことが可能です。
中には、歯根吸収によって前歯を失った症例もありましたが、
矯正治療と歯の移植を組み合わせて、機能的にも見た目にも自然に回復できました。

■ ほとんどの方は心配いりません
歯根吸収という言葉だけ聞くと怖い印象がありますが、
実際には多くの場合、経過観察だけで十分です。
もしレントゲンで「歯の根が短い」と言われた場合でも、
その多くは特に治療を必要としない“自然な範囲”の変化です。
ご心配な方は、お気軽にご相談ください。
早期発見で防げるケースもあり、経過を見守るだけで安心できることも多くあります。
- 住所
- 〒518-0878 三重県伊賀市上野西大手町3598(崇廣中学校となり)
※キッズスペース完備 駐車場14台完備 - 営業時間
- 平日・土曜:9:00 - 12:00(11:30最終受付) / 14:00 - 18:00(17:30最終受付)
- 休診日
- 水曜日・日曜日・祝日
- 最寄駅
- 西大手駅
三重県伊賀市の峰歯科・矯正歯科クリニック
伊賀市で矯正歯科について相談できる歯医者をお探しの方は、峰歯科・矯正歯科クリニックへご相談ください。
おすすめ記事
-
- 院長ブログ
- 歯医者に通うタイミングを逃す人の心理
-
- スタッフブログ
- 川出・梅
-
- 院長ブログ
- 伊賀三国志⑥ 南北朝 ― 伊賀三国志の泥沼化
-
矯正歯科について - 矯正症例集
- なぜ矯正をした方がいいの?
- 矯正治療のすすめ方
- 当院の矯正装置(オプション)
- 矯正料金表
- 矯正治療Q&A
| 診療時間 | 月 | 火 | 水 | 木 | 金 | 土 | 日 |
|---|---|---|---|---|---|---|---|
| 9:00-12:00 (11:30最終受付) |
● | ● | 休 | ● | ● | ● | 休 |
| 14:00-18:00 (17:30最終受付) |
● | ● | 休 | ● | ● | ● | 休 |
- ※休診日…水曜日・日曜日・祝日

〒518-0878
三重県伊賀市上野西大手町3598
(崇廣中学校となり)アクセス ≫
当院は伊賀市上野・緑ヶ丘・桐ヶ丘・青山町など、周辺地域からも多くの患者さまにご来院いただいています。
TEL 0120-539-118
TEL 0595-21-1616
-
駐車場14台完備 -
キッズスペース完備


歯周病
入れ歯&訪問






WEB予約はこちら ▶